La réussite d'un traitement
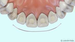
La contention permet de stabiliser les résultats de votre traitement et de conserver un bel alignement des dents.
Un entretien quotidien permettra de conserver vos aligneurs (ou gouttières transparentes) en bon état pendant toute la durée du traitement.
Affichage des articles 1-6 sur 8





